Had a follow up with my surgeon on Tuesday. He took the first post-op x-rays and pronounced everything in order. I see him in two weeks and he said, “Bring a regular shoe with you.”
Wha-wha-what?!?!?
I might be in a legit regular shoe in two weeks?
Feels like Christmas has come early.
It gets better, though. As I changed the bandages yesterday, I realized that fir the first time in nine months, I felt no blister or no ulcerations of any kind. I can’t look at it too well as I don’t want to put any torque on the toe that might cause problems with the healing of the bone, but damn it felt good. I ever noticed that my mood was greatly improved, just with that little news. I might even be able to do the Troeg’s 5K, albeit while walking. I don’t want to risk reinjuring the toe in any way, shape or form.
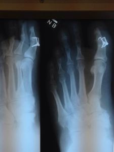
The x-rays look kind of cool. You can clearly see the plaples (combination of plate and staple) that are holding the tip of my toe onto the rest of my foot. The surgeon told me he went that route because he didn’t want an issue with a screw that might work its way out of the bone. I am appreciative, that’s for sure.
It was a combo appointment, though, as Supportive Partner Woman (badly sunburned!) had a small procedure done to her foot to drain a ganglion cyst that was causing her problems. SPW’s compression bandage should be off today. She says it feels a little better, which I take as a good sign. Or, she could be not minding it due to the sunburn. I guess having the cyst done the way she did beats the old school way, which was to slam it with a heavy book. Ouch.
Other than that, things are moving along.
We also did the local flea market on Labor Day. It was crazy humid and the turnout wasn’t quite as good as we hoped (it was too freakin’ hot), but we managed to unload stuff and didn’t come home with anything extra. That’s a good sign. I know I’ve mentioned this before, but there are some incredibly cheap bastards out there. I understand wanting to get the best deal that you can, but don’t expect me to give it away. Case in point, a woman wandered up to our tables, picked up a barely used (literally, less than five times) T-fal griddle pan. She asks how much it is, we tell her $3. Rather than attempt to haggle, she slams the pan down on the table and storms off. I would’ve taken $2 for it, but I guess she wanted it for free.
It’s good to want, chump.
At any rate, there’s always going to be idiots. It’s not against the law.
Sigh.








